当前位置: 首页 > 新闻中心 > 医院动态 > 正文

带你认识“大脑杀手”——脑胶质瘤

时间:2024-08-08

什么是脑胶质瘤?

胶质瘤又叫神经胶质瘤,起源于负责支持、营养神经元的神经胶质细胞,是颅内最常见的原发性恶性肿瘤。2022年我国神经胶质瘤发病率为10万分之7。胶质瘤的分级是根据肿瘤细胞与正常细胞的相似程度进行分类低级别胶质瘤包括级和(1级和2级)高级别胶质瘤包括Ⅲ级和Ⅳ级(3级和4级),胶质瘤的级别越高,肿瘤的恶性程度也随之上升

胶质瘤可以发生在任何年龄的人群中,但成年人更多I到IV级胶质瘤患者的5年总生存率分别为98%、50%、30%和5%,高级别胶质瘤的预后相对较差。

为什么会得脑胶质瘤?和打手机有关吗?

脑胶质瘤的发生是家族遗传因素与外部环境因素相互作用的结果。目前可以确定的两个危险因素是暴露于高剂量电离辐射与某些罕见疾病相关的遗传突变相关。虽然目前没有证据表明接打手机与患胶质瘤有明确的相关性,但是长时间在耳边打手机还是不建议的。

如何及时发现脑胶质瘤?

脑胶质瘤引起的神经系统症状较为广泛。症状可能包括:频繁的头痛伴恶心惊厥发作感觉障碍视力模糊平衡困难性格变化等,胶质瘤的症状与肿瘤所在部位的脑功能相关。

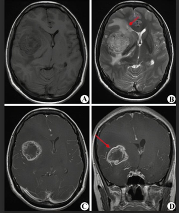
MRI(核磁共振)是一种无创伤的影像学检查,对脑肿瘤敏感性较高,大约1-2天可以拿到结果,是诊断和评估治疗效果的首选但准确性只有80%-90%,不能作为确诊的最终依据。

(图A-D显示为高级别胶质瘤的核磁表现,红箭头指示肿瘤所在)

胶质瘤最终确诊还要靠立体定向穿刺或开颅手术等有创操作,取得病变组织,由病理科医生确认病变是否为胶质瘤以及胶质瘤的级别,这一过程大约需要7-10天。

胶质瘤的基因检测是什么?有必要做吗?

最新的胶质瘤诊断由组织病理学诊断和分子病理学诊断两部分构成。组织病理可以明确病变是否为胶质瘤、组织类型及级别、恶性程度的高低。分子病理是指通过基因检测来明确肿瘤的基因特征及突变情况,明确肿瘤是属于哪种亚型,可以帮助我们评估治疗效果判断肿瘤对放疗、化疗是否敏感以及指导治疗的方案及判断预后。简言之,基因检测能为胶质瘤的最终分型、治疗及预后评估提供重要的依据,可以使治疗更精准,在条件允许情况下,建议进行检测。

脑胶质瘤可以治愈吗?会转移到身体其他部位吗?

治疗胶质瘤有很多方法可以尝试,但没有一种方法是完美的。治疗方法包括手术、放疗、化疗、靶向药物治疗、电场疗法等。胶质瘤转移到颅外其他部位也是较为罕见的。

I级胶质瘤肿瘤侵袭性较低,完全切除后不需要放化疗,会有一个较长的生存期。II级及以上胶质瘤往往呈侵袭性生长,肿瘤与脑组织边界不清楚,标准治疗计划包括手术切除肿瘤,然后进行放疗或化疗以杀死残留的瘤细胞,理论上难以治愈,且胶质瘤可能会在治疗期间或治疗后复发。如今随着胶质瘤研究的深入,治疗技术的更新,疗法组合不断优化,甚至包括可参与的临床试验,我们能够做到在一定程度上阻止胶质瘤的生长,这也使得达成长期存活的胶质瘤患者越来越多。

脑胶质瘤延迟治疗会怎样?

早确诊、早治疗是脑胶质瘤良好预后的关键。不积极治疗,尤其是延迟手术,大多数情况下不仅不能少遭罪,往往还会遭遇更多艰难的情况。延迟治疗可能错过最佳的治疗和恢复时机,后果主要体现三方面:肿瘤恶化升级、生活质量降低、生存期缩短。

一是部分低级别胶质瘤,有恶化升级的可能,或者高级别胶质瘤生长快,容易造成巨大的颅内占位难以手术;二是本来能够不留后遗症,结果任其发展出现肢体瘫痪、视力下降、失语等残疾生活状态;三是生存期缩短,目前的医疗手段虽然无法根治肿瘤,但是可以延缓进展、提高生存期。

手术切除、化疗和放疗的意义是什么?年龄很大还可以手术吗?

手术可以缓解临床症状,延长患者生存期,获得足够的标本来明确病理诊断和分子水平研究。在安全的前提下,最大限度切除肿瘤是胶质瘤手术的目标。随着科学技术的不断进步,在现代胶质瘤的手术中,有多模态磁共振、神经导航、术中超声、术中神经电生理、术中唤醒等技术的辅助,使得胶质瘤的手术更加精准、更加安全。

高级别胶质瘤的术后放疗有利于患者生存期的延长。由于胶质瘤侵袭性生长的特点和大脑功能区的存在,很难实现扩大切除。因此,对于恶性胶质瘤,即使在影像学上彻底切除,也要采取肿瘤周围脑组织的放射治疗。有助于延缓肿瘤复发,延长患者生存期。

化疗可以进一步杀死残存的肿瘤细胞,有助于延长患者的生存时间延缓病情复发。目前,化疗在胶质瘤治疗中的作用越来越受到重视。不断开发的新药、电场治疗、靶向治疗、疫苗的开发等给了胶质瘤治疗新的手段和新的希望。

年龄是影响患者恢复效果的重要因素,但仍有许多老年患者可以从手术、放疗或化疗中受益。但对于患有重大基础疾病的患者,建议根据个体情况选择合适的治疗方案。

如何预防和处理胶质瘤的复发?

要坚持胶质瘤术后系统治疗,坚持定期复查低级别胶质瘤每3-6个月复查一次,5年后每年复查一次。高级别胶质瘤放疗后2-6周进行头部MRI检查,2-3年内每2-3个月进行MRI检查,3年后每3-6个月进行一次。病情复发时及时联系主治医生,听取专业意见,进行规范治疗,复发患者的生存期也会得到受益。

/靳乾旭 佟静